Questão número 270342

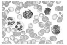
A figura acima ilustra uma fotomicrografia do esfregaço sanguíneo de um organismo pertencente à classe

  • A. dos anfíbios.
  • B. dos répteis.
  • C. das aves.
  • D. dos mamíferos.
Próxima Questão
Provas e Concursos

O Provas e Concursos é um banco de dados de questões de concursos públicos organizadas por matéria, assunto, ano, banca organizadora, etc

{TITLE}

{CONTENT}

{TITLE}

{CONTENT}
Provas e Concursos
0%
Aguarde, enviando solicitação!

Aguarde, enviando solicitação...