Lista completa de Questões de Biologia do ano 2007 para resolução totalmente grátis. Selecione os assuntos no filtro de questões e comece a resolver exercícios.
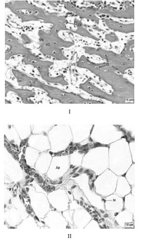
Assinale a opção que, respectivamente, melhor expressa as funções dos tecidos ilustrados nas fotomicrografias I e II.
armazenamento de lipídios e armazenamento de cálcio
armazenamento de cálcio e armazenamento de lipídios
A única diferença entre a primeira e a segunda dentição humana é:
A primeira dentição, por não ser permanente, não possui raiz.
A segunda dentição antecede a terceira dentição.
A primeira dentição é denominada de "dente-deleite" por sua coloração.
A primeira dentição possui 18 dentes e a segunda dentição possui 28 dentes, sendo os sisos considerados "dentes anômalos".
O esquema abaixo representa um coração humano. Considere uma hemácea com uma grande concentração de carboxiemoglobina, que chega ao coração. A ordem de passagem pelos compartimentos cardíacos será

I, II, III e IV.
I, III, II e IV.
II, IV, I e III.
II, I, IV e III.
IV, II, III e I.
Referentemente a histologia animal, é correto afirmar que os tecidos ilustrados nas figuras I e II acima são, respectivamente,

Considerando a figura acima, julgue os itens que se seguem.
A figura representa uma célula vegetal, visto que apresenta cloroplastos e parede celular.

Considerando a figura acima, julgue os itens que se seguem.
A estrutura I representa a parede celular, que contém em sua organização uma bicamada lipídica com proteínas associadas.
Considerando as características das células e dos tecidos vegetais, julgue os próximos itens.
Os tecidos vegetais se originam dos meristemas, visto que as células meristemáticas são totipotentes.
Acerca do assunto tratado no texto acima, julgue os itens seguintes.
As mudas doadas, ao se desenvolverem, necessariamente apresentarão vasos condutores lenhosos.
Com base nas informações apresentadas no texto acima e considerando hipoteticamente que a distribuição da P. hispidinervum seja restrita ao local em que for encontrada e, ainda, que haja um projeto de implantação de usina hidrelétrica que alague o referido vale, julgue os itens seguintes.
As duas espécies mencionadas no texto apresentam aspereza na face inferior das folhas.
Com base nas informações apresentadas no texto acima e considerando hipoteticamente que a distribuição da P. hispidinervum seja restrita ao local em que for encontrada e, ainda, que haja um projeto de implantação de usina hidrelétrica que alague o referido vale, julgue os itens seguintes.
As folhas de P. hispidinervum apresentam formato circular, com razão próxima de 1 entre as medidas de comprimento e largura.
{TITLE}
{CONTENT}
{TITLE}
Aguarde, enviando solicitação...