Lista completa de Questões de Odontologia do ano 2020 para resolução totalmente grátis. Selecione os assuntos no filtro de questões e comece a resolver exercícios.
Odontologia - SUS - EDUCA - 2020
Considere as imagens abaixo na sequência:

Os instrumentais indicados representados na figura, são:
Assinale a alternativa CORRETA:
O palato mole contém músculos e tecido fibroso revestidos por mucosa. Durante a deglutição, o palato mole se eleva, evitando a entrada de alimento na parte nasal da faringe. Na fonação, ele pode elevar-se mais ou menos, causando um velamento total ou parcial da boca em relação à parte nasal da faringe, a depender do tipo de som emitido (som nasal ou vocálico)
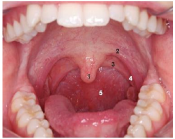
Levando em consideração a estrutura bucal, analise a imagem e estabeleça a relação com a denominação e número:

A sequência CORRETA é:
1.Arco palatoglosso.
2.Úvula.
3.Tonsila palatina na fossa tonsilar.
4.Arco palatofaríngeo.
5. Parte oral da faringe.
1.Úvula.
2.Tonsila palatina na fossa tonsilar.
3.Arco palatofaríngeo.
4. Parte oral da faringe.
5.Arco palatoglosso.
1. Úvula.
2. Arco palatoglosso.
3. Arco palatofaríngeo.
4. Tonsila palatina na fossa tonsilar.
5. Parte oral da faringe.
1.Arco palatofaríngeo.
2.Tonsila palatina na fossa tonsilar.
3. Parte oral da faringe.
4. Úvula.
5. Arco palatoglosso
1. Parte oral da faringe.
2.Úvula.
3. Arco palatofaríngeo.
4. Tonsila palatina na fossa tonsilar.
5. Arco palatoglosso.
Sobre a nomenclatura da dentição decídua, analise a afigura e estabeleça a numeração correta:
Arco dental superior

A sequência CORRETA é:
{TITLE}
{CONTENT}
{TITLE}
Aguarde, enviando solicitação...