Questão número 144397

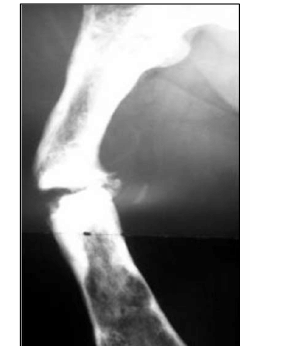
“Paciente em décimo mês de recuperação pós‐fratura apresenta a seguinte imagem radiográfica. Nega traumatismos recentes.”

É correto afirmar que trata‐se de

  • A. osteomielite fistulizante.
  • B. pseudoartrose hipertrófica.
  • C. pseudoartrose atrófica do tipo avascular.
  • D. uma fratura patológica sobre a antiga fratura.
Próxima Questão
Provas e Concursos

O Provas e Concursos é um banco de dados de questões de concursos públicos organizadas por matéria, assunto, ano, banca organizadora, etc

{TITLE}

{CONTENT}

{TITLE}

{CONTENT}
Provas e Concursos
0%
Aguarde, enviando solicitação!

Aguarde, enviando solicitação...