Questão número 678330

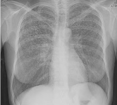
Uma paciente de 45 anos de idade compareceu, acompanhada pela filha, a uma consulta ambulatorial. Queixa-se de perda de peso (em torno de 4 kg nos últimos seis meses), febre vespertina e fadiga há mais de 20 dias. Observe que tem trabalhado muito, tem uma fadiga crônica e acha que iniciado os sintomas após exposição à chuva e o frio quando voltava do trabalho para casa. Ela informa que é etilista social e tabagista (15 cigarros / dia), e alguns exames laboratoriais como hemograma, eletrólitos, função hepática e renais normais. Os raios X de tórax estão representados na imagem a seguir. O resultado do PPD e o lavado brônquico são negativos.  

Disponível em: <http://www.medicinanet.com.br/> . Acesso em: 12 nov.2020.

Com base nesse caso clínico, na imagem apresentada e nos conhecimentos médicos correlatos, julgue o item a seguir.


Os hábitos de vida dessa paciente podem estar relacionados à queixa de fadiga crônica.

Próxima Questão
Provas e Concursos

O Provas e Concursos é um banco de dados de questões de concursos públicos organizadas por matéria, assunto, ano, banca organizadora, etc

{TITLE}

{CONTENT}

{TITLE}

{CONTENT}
Provas e Concursos
0%
Aguarde, enviando solicitação!

Aguarde, enviando solicitação...