Medicina - Pneumologia - IADES - 2020

Com base nesse caso clínico e nos conhecimentos médicos correlatos, julgue o item a seguir.
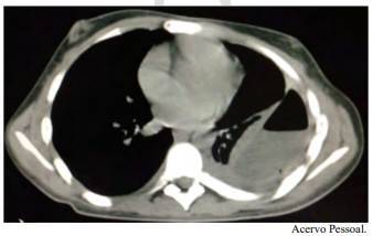
O mais provável fator de risco para a condição que o paciente apresenta é exposição ao asbesto e ao tabaco.
{TITLE}
{CONTENT}
{TITLE}
Aguarde, enviando solicitação...