Lista completa de Questões de Medicina do ano 2004 para resolução totalmente grátis. Selecione os assuntos no filtro de questões e comece a resolver exercícios.
O trauma cranioencefálico (TCE) tem sido reconhecido como um problema de saúde pública em razão do contínuo aumento da incidência de acidentes automobilísticos. Nesse contexto, julgue os itens seguintes.
Radiografias do crânio devem ser feitas sempre que há suspeita de TCE.
Com relação aos princípios físicos para obtenção de imagens radiográficas, ecográficas e de tomografia computadorizada, julgue os itens a seguir.
A onda ultra-sônica é mais atenuada no tecido muscular do que no tecido gorduroso.
Com relação aos princípios físicos para obtenção de imagens radiográficas, ecográficas e de tomografia computadorizada, julgue os itens a seguir.
Na tomografia computadorizada, um registro de densidade de 100 HU corresponde a tecido adiposo.
Com relação aos princípios físicos para obtenção de imagens radiográficas, ecográficas e de tomografia computadorizada, julgue os itens a seguir.
As grades utilizadas em exames radiográficos têm como finalidade a redução da radiação incidente sobre o paciente.
Com relação aos princípios físicos para obtenção de imagens radiográficas, ecográficas e de tomografia computadorizada, julgue os itens a seguir.
A radiação secundária é produzida a partir da interação do feixe de raios X com o corpo do paciente.
Com relação aos princípios físicos para obtenção de imagens radiográficas, ecográficas e de tomografia computadorizada, julgue os itens a seguir.
A radiação de frenagem é produzida pela interação entre elétrons do feixe e o núcleo dos átomos do anodo.

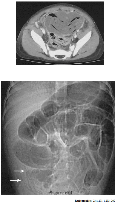
As imagens acima são de um mesmo paciente. Considerando essa imagens e os achados por elas revelados, julgue os itens subseqüentes.
O músculo ilíaco direito apresenta aspecto normal, sem evidências de abscesso.

As imagens acima são de um mesmo paciente. Considerando essa imagens e os achados por elas revelados, julgue os itens subseqüentes.
Existe grande dilatação do cólon sigmóide.

As imagens acima são de um mesmo paciente. Considerando essa imagens e os achados por elas revelados, julgue os itens subseqüentes.
As setas indicam a presença de parasitas.

As imagens acima são de um mesmo paciente. Considerando essa imagens e os achados por elas revelados, julgue os itens subseqüentes.
Há um grande abscesso pélvico.
{TITLE}
{CONTENT}
{TITLE}
Aguarde, enviando solicitação...