Lista completa de Questões sobre Clínica Médica Humana para resolução totalmente grátis. Selecione os assuntos no filtro de questões e comece a resolver exercícios.
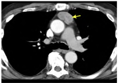
Uma paciente de 47 anos de idade, com sintomas gripais agudos, realizou exames de imagem de tórax por suspeita de Covid-19. A hipótese não se confirmou, porém uma tomografia computadorizada de tórax, representada pela imagem a seguir, evidenciou uma massa heterogênea de contornos bem definidos em topografia de mediastino anterior, em localização de timo, de aproximadamente 4,5 cm x 2,9 cm. Não apresentava linfonodos aumentados no exame de imagem. Realizaram-se, ainda, tomografias computadorizadas de encéfalo e de abdome, que não mostraram alterações.

Tendo em vista esse caso clínico e os conhecimentos médicos correlatados, julgue o item a seguir.
Espera-se, na investigação pré-operatória, presença elevada de alfafetoproteína e beta-HGC. 
Uma paciente de 47 anos de idade, com sintomas gripais agudos, realizou exames de imagem de tórax por suspeita de Covid-19. A hipótese não se confirmou, porém uma tomografia computadorizada de tórax, representada pela imagem a seguir, evidenciou uma massa heterogênea de contornos bem definidos em topografia de mediastino anterior, em localização de timo, de aproximadamente 4,5 cm x 2,9 cm. Não apresentava linfonodos aumentados no exame de imagem. Realizaram-se, ainda, tomografias computadorizadas de encéfalo e de abdome, que não mostraram alterações.

Tendo em vista esse caso clínico e os conhecimentos médicos correlatados, julgue o item a seguir.
Para diagnóstico diferencial de linfoma de mediastino anterior, a conduta é biópsia transtorácica guiada por tomografia de tórax. Caso se confirme, o tratamento deverá ser feito com quimioterapia no primeiro momento, ficando a cirurgia de ressecção apenas para tumor residual.
{TITLE}
{CONTENT}
{TITLE}
 
        Aguarde, enviando solicitação...