Lista completa de Questões sobre Ginecologia para resolução totalmente grátis. Selecione os assuntos no filtro de questões e comece a resolver exercícios.
A ultrassonografia endoscópica foi incorporada aos métodos diagnósticos de gastroenterologia na década de 80 do século XX. Desde então, esse exame vem sendo aplicado em diversas situações, tentando-se estabelecer as indicações precisas e a real contribuição para o diagnóstico de moléstias digestivas. No que se refere a essa técnica, julgue os itens subsequentes.
A ecoendoscopia não traz benefícios para a avaliação de pregas gástricas espessadas, também chamadas de gastrite hiperplásica pelo sistema Sidney.
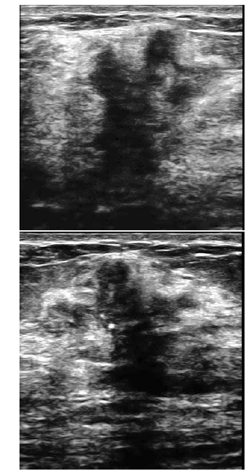
Uma paciente de 32 anos de idade procurou um médico ginecologista por ter palpado nódulo na mama direita. Ao exame das mamas, foi percebido nódulo endurecido, fixo aos planos adjacentes, com cerca de 3 cm de diâmetro. Foi realizada, então, mamografia, que revelou presença de lesão espiculada, com limites imprecisos, retração do parênquima adjacente e microcalcificações pleomórficas agrupadas. O exame ultrassonográfico evidenciou a lesão representada na forma gráfica na figura abaixo.

A respeito dessa situação hipotética, julgue os itens de 75 a 80.
Microcalcificações são os achados ecográficos que mais elevam o risco de malignidade, quando encontradas em nódulos mamários suspeitos.
Com referência ao planejamento familiar, julgue os itens subsequentes.
O uso da medroxiprogesterona de depósito como anticoncepção no climatério apresenta como vantagem adicional o aumento da densidade mineral óssea e um perfil lipídico favorável.
A ultrassonografia endoscópica foi incorporada aos métodos diagnósticos de gastroenterologia na década de 80 do século XX. Desde então, esse exame vem sendo aplicado em diversas situações, tentando-se estabelecer as indicações precisas e a real contribuição para o diagnóstico de moléstias digestivas. No que se refere a essa técnica, julgue os itens subsequentes.
Não há sentido em realizar ecoendoscopia para o diagnóstico de lesão gástrica ulcerada, pois o câncer ulcerado e a úlcera péptica são indistinguíveis à ecoendoscopia.
Uma paciente de 32 anos de idade procurou um médico ginecologista por ter palpado nódulo na mama direita. Ao exame das mamas, foi percebido nódulo endurecido, fixo aos planos adjacentes, com cerca de 3 cm de diâmetro. Foi realizada, então, mamografia, que revelou presença de lesão espiculada, com limites imprecisos, retração do parênquima adjacente e microcalcificações pleomórficas agrupadas. O exame ultrassonográfico evidenciou a lesão representada na forma gráfica na figura abaixo.

A respeito dessa situação hipotética, julgue os itens de 75 a 80.
Analisando-se a textura dos nódulos da mama, sabe-se que as lesões marcadamente hipoecogênicas têm maior risco de malignidade. Todavia, cerca de 1/3 dos tumores malignos são isoecogênicos ou discretamente hipoecogênicos em relação ao tecido adiposo.
Com referência ao planejamento familiar, julgue os itens subsequentes.
Nas pacientes usuárias de medicamentos anticonvulsivantes como a carbamazepina, a fenitoína e os barbitúricos, a categoria de elegibilidade 1 da Organização Mundial da Saúde (OMS) indica o DIU de cobre como método contraceptivo de escolha.
A ultrassonografia endoscópica foi incorporada aos métodos diagnósticos de gastroenterologia na década de 80 do século XX. Desde então, esse exame vem sendo aplicado em diversas situações, tentando-se estabelecer as indicações precisas e a real contribuição para o diagnóstico de moléstias digestivas. No que se refere a essa técnica, julgue os itens subsequentes.
Em caso de câncer de esôfago, a ultrassonografia endoscópica possibilita avaliar a invasão da parede do esôfago e realizar a biópsia de linfonodos periesofagianos sob suspeita.
Uma paciente de 32 anos de idade procurou um médico ginecologista por ter palpado nódulo na mama direita. Ao exame das mamas, foi percebido nódulo endurecido, fixo aos planos adjacentes, com cerca de 3 cm de diâmetro. Foi realizada, então, mamografia, que revelou presença de lesão espiculada, com limites imprecisos, retração do parênquima adjacente e microcalcificações pleomórficas agrupadas. O exame ultrassonográfico evidenciou a lesão representada na forma gráfica na figura abaixo.

A respeito dessa situação hipotética, julgue os itens de 75 a 80.
A sombra acústica posterior produzida por essa lesão é determinada pelas microcalcificações presentes no seu interior.
Com referência ao planejamento familiar, julgue os itens subsequentes.
O contraceptivo hormonal oral combinado leva a um aumento do SHBG e da capacidade de ligação da testosterona, acarretando redução dos níveis séricos de testosterona livre, amenizando os efeitos androgênicos nas usuárias.
Quanto a pólipos gástricos e colangiopancreatografia retrógrada endoscópica (CPRE), julgue os seguintes itens.
A CPRE é dispensável nos casos de coledocolitíase associada à colangite aguda, principalmente se o cálculo for maior que 8 mm e localizado na via biliar extra-hepática proximal.
{TITLE}
{CONTENT}
{TITLE}
Aguarde, enviando solicitação...