Lista completa de Questões sobre Neurologia para resolução totalmente grátis. Selecione os assuntos no filtro de questões e comece a resolver exercícios.

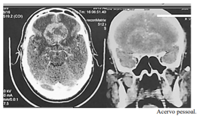
Considere um paciente de 59 anos de idade, com 90 kg, hipertenso e tabagista. Ele é levado ao hospital por familiares em razão de cefaleia persistente e progressiva. Os familiares relatam, ainda, alteração de comportamento há aproximadamente dois meses, associada à diminuição global de força. Ao exame, o paciente está pouco colaborativo, irritado, com fala inapropriada e hiposmia, sem deficits focais ao exame. Constatam-se AC = RC2T com BNF; FC = 82 bpm; AP = MVF sem RA; FR = 18 irpm; PA = 150 mmHg x 85 mmHg; e SatO2 = 97%. É realizada a tomografia computadorizada (TC) de crânio, conforme a imagem apresentada.

Considere um paciente de 59 anos de idade, com 90 kg, hipertenso e tabagista. Ele é levado ao hospital por familiares em razão de cefaleia persistente e progressiva. Os familiares relatam, ainda, alteração de comportamento há aproximadamente dois meses, associada à diminuição global de força. Ao exame, o paciente está pouco colaborativo, irritado, com fala inapropriada e hiposmia, sem deficits focais ao exame. Constatam-se AC = RC2T com BNF; FC = 82 bpm; AP = MVF sem RA; FR = 18 irpm; PA = 150 mmHg x 85 mmHg; e SatO2 = 97%. É realizada a tomografia computadorizada (TC) de crânio, conforme a imagem apresentada.

Considere um paciente de 59 anos de idade, com 90 kg, hipertenso e tabagista. Ele é levado ao hospital por familiares em razão de cefaleia persistente e progressiva. Os familiares relatam, ainda, alteração de comportamento há aproximadamente dois meses, associada à diminuição global de força. Ao exame, o paciente está pouco colaborativo, irritado, com fala inapropriada e hiposmia, sem deficits focais ao exame. Constatam-se AC = RC2T com BNF; FC = 82 bpm; AP = MVF sem RA; FR = 18 irpm; PA = 150 mmHg x 85 mmHg; e SatO2 = 97%. É realizada a tomografia computadorizada (TC) de crânio, conforme a imagem apresentada.

Considere um paciente de 59 anos de idade, com 90 kg, hipertenso e tabagista. Ele é levado ao hospital por familiares em razão de cefaleia persistente e progressiva. Os familiares relatam, ainda, alteração de comportamento há aproximadamente dois meses, associada à diminuição global de força. Ao exame, o paciente está pouco colaborativo, irritado, com fala inapropriada e hiposmia, sem deficits focais ao exame. Constatam-se AC = RC2T com BNF; FC = 82 bpm; AP = MVF sem RA; FR = 18 irpm; PA = 150 mmHg x 85 mmHg; e SatO2 = 97%. É realizada a tomografia computadorizada (TC) de crânio, conforme a imagem apresentada.

Considere um paciente de 59 anos de idade, com 90 kg, hipertenso e tabagista. Ele é levado ao hospital por familiares em razão de cefaleia persistente e progressiva. Os familiares relatam, ainda, alteração de comportamento há aproximadamente dois meses, associada à diminuição global de força. Ao exame, o paciente está pouco colaborativo, irritado, com fala inapropriada e hiposmia, sem deficits focais ao exame. Constatam-se AC = RC2T com BNF; FC = 82 bpm; AP = MVF sem RA; FR = 18 irpm; PA = 150 mmHg x 85 mmHg; e SatO2 = 97%. É realizada a tomografia computadorizada (TC) de crânio, conforme a imagem apresentada.
{TITLE}
{CONTENT}
{TITLE}
Aguarde, enviando solicitação...