Lista completa de Questões sobre Pneumologia para resolução totalmente grátis. Selecione os assuntos no filtro de questões e comece a resolver exercícios.

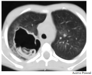
Tendo em vista esse caso clínico e os conhecimentos médicos correlatos, julgue o item a seguir.
Esse paciente tem indicação de remoção cirúrgica da lesão. 

Tendo em vista esse caso clínico e os conhecimentos médicos correlatos, julgue o item a seguir.
A doença apresentada é diagnosticada facilmente em pacientes com lesões císticas pulmonares e teste sorológico positivo, que moram em zonas endêmicas, como o paciente do caso clínico. 

Tendo em vista esse caso clínico e os conhecimentos médicos correlatos, julgue o item a seguir.
O órgão acometido pela doença infecciosa do paciente é o sítio preferencial de acometimento por esse germe, e o segundo órgão preferencial é o fígado. 
{TITLE}
{CONTENT}
{TITLE}
 
        Aguarde, enviando solicitação...