Lista completa de Questões sobre Pneumologia para resolução totalmente grátis. Selecione os assuntos no filtro de questões e comece a resolver exercícios.
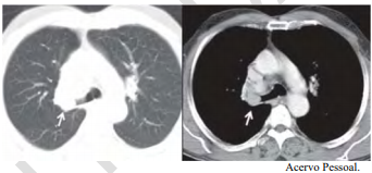
Uma paciente de 47 anos de idade, não tabagista, apresenta episódio de tosse e hemoptise. A tomografia computadorizada de tórax, realizada para investigação, evidenciou um nódulo pulmonar, com densidade de partes moles, de 2,1 cm, com obstrução do brônquio lobar superior direito, demonstrada nas imagens a seguir. Não há linfonodos mediastinais aumentados. A fibrobroncoscopia para investigação evidenciou uma lesão sólida em brônquio lobar superior direito, com obstrução total do brônquio, e aspecto em dedo de luva. As tomografias computadorizadas de abdome e de crânio não identificaram lesões metastáticas a distância. A biópsia endobrônquica demonstrou ser um carcinoide típico.
A espirometria permite ressecção pulmonar (lobectomia e pneumonectomia), e a avaliação clínica pré-operatória permite cirurgia de grande porte.

Em relação a esse caso clínico e com base nos conhecimentos médicos correlatos, julgue o item a seguir.
Espera-se encontrar no painel imuno-histoquímico dessa paciente, hMLH1, hMSH2 e Cox-2.
Um paciente de 18 anos de idade tem diagnóstico de hiperidrose palmar. Refere que os sintomas se iniciaram desde a infância e trazem prejuízo social importante. Relata ter dificuldade de tocar instrumentos musicais em razão da quantidade de suor, além do desconforto social por esse motivo. É previamente hígido, seu IMC atualmente é = 21 e nega outras comorbidades.
Com relação a esse caso clínico e considerando os conhecimentos médicos correlatos, julgue o item a seguir.
Pneumotórax é complicação possível da simpatectomia torácica.
Um paciente de 18 anos de idade tem diagnóstico de hiperidrose palmar. Refere que os sintomas se iniciaram desde a infância e trazem prejuízo social importante. Relata ter dificuldade de tocar instrumentos musicais em razão da quantidade de suor, além do desconforto social por esse motivo. É previamente hígido, seu IMC atualmente é = 21 e nega outras comorbidades.
Com relação a esse caso clínico e considerando os conhecimentos médicos correlatos, julgue o item a seguir.
Bromidrose axilar é complicação frequente do pós-operatório de simpatectomia.
Um paciente de 18 anos de idade tem diagnóstico de hiperidrose palmar. Refere que os sintomas se iniciaram desde a infância e trazem prejuízo social importante. Relata ter dificuldade de tocar instrumentos musicais em razão da quantidade de suor, além do desconforto social por esse motivo. É previamente hígido, seu IMC atualmente é = 21 e nega outras comorbidades.
Com relação a esse caso clínico e considerando os conhecimentos médicos correlatos, julgue o item a seguir.
Hiperidrose compensatória é uma complicação possível da simpatectomia torácica.
Um paciente de 18 anos de idade tem diagnóstico de hiperidrose palmar. Refere que os sintomas se iniciaram desde a infância e trazem prejuízo social importante. Relata ter dificuldade de tocar instrumentos musicais em razão da quantidade de suor, além do desconforto social por esse motivo. É previamente hígido, seu IMC atualmente é = 21 e nega outras comorbidades.
Com relação a esse caso clínico e considerando os conhecimentos médicos correlatos, julgue o item a seguir.
O paciente tem indicação de simpatectomia torácica bilateral por VATS.
Uma paciente de 47 anos de idade, não tabagista, apresenta episódio de tosse e hemoptise. A tomografia computadorizada de tórax, realizada para investigação, evidenciou um nódulo pulmonar, com densidade de partes moles, de 2,1 cm, com obstrução do brônquio lobar superior direito, demonstrada nas imagens a seguir. Não há linfonodos mediastinais aumentados. A fibrobroncoscopia para investigação evidenciou uma lesão sólida em brônquio lobar superior direito, com obstrução total do brônquio, e aspecto em dedo de luva. As tomografias computadorizadas de abdome e de crânio não identificaram lesões metastáticas a distância. A biópsia endobrônquica demonstrou ser um carcinoide típico.
A espirometria permite ressecção pulmonar (lobectomia e pneumonectomia), e a avaliação clínica pré-operatória permite cirurgia de grande porte.

Em relação e esse caso clínico e com base nos conhecimentos médicos correlatos, julgue o item a seguir.
Trata-se de um estadiamento clínico IA3: T1cN0M0.
Uma paciente de 47 anos de idade, não tabagista, apresenta episódio de tosse e hemoptise. A tomografia computadorizada de tórax, realizada para investigação, evidenciou um nódulo pulmonar, com densidade de partes moles, de 2,1 cm, com obstrução do brônquio lobar superior direito, demonstrada nas imagens a seguir. Não há linfonodos mediastinais aumentados. A fibrobroncoscopia para investigação evidenciou uma lesão sólida em brônquio lobar superior direito, com obstrução total do brônquio, e aspecto em dedo de luva. As tomografias computadorizadas de abdome e de crânio não identificaram lesões metastáticas a distância. A biópsia endobrônquica demonstrou ser um carcinoide típico.
A espirometria permite ressecção pulmonar (lobectomia e pneumonectomia), e a avaliação clínica pré-operatória permite cirurgia de grande porte.

Em relação a esse caso clínico e com base nos conhecimentos médicos correlatos, julgue o item a seguir.
A paciente tem indicação de terapia alvo adjuvante.
Uma paciente de 47 anos de idade, não tabagista, apresenta episódio de tosse e hemoptise. A tomografia computadorizada de tórax, realizada para investigação, evidenciou um nódulo pulmonar, com densidade de partes moles, de 2,1 cm, com obstrução do brônquio lobar superior direito, demonstrada nas imagens a seguir. Não há linfonodos mediastinais aumentados. A fibrobroncoscopia para investigação evidenciou uma lesão sólida em brônquio lobar superior direito, com obstrução total do brônquio, e aspecto em dedo de luva. As tomografias computadorizadas de abdome e de crânio não identificaram lesões metastáticas a distância. A biópsia endobrônquica demonstrou ser um carcinoide típico.
A espirometria permite ressecção pulmonar (lobectomia e pneumonectomia), e a avaliação clínica pré-operatória permite cirurgia de grande porte.

Em relação a esse caso clínico e com base nos conhecimentos médicos correlatos, julgue o item a seguir.
Os tumores carcinoides típicos apresentam células com cromatina pontilhada e uma quantidade moderada de citoplasma. Têm menos mitoses e uma baixa necrose (maiores do que 4 mm em sua maior dimensão).
Uma paciente de 47 anos de idade, não tabagista, apresenta episódio de tosse e hemoptise. A tomografia computadorizada de tórax, realizada para investigação, evidenciou um nódulo pulmonar, com densidade de partes moles, de 2,1 cm, com obstrução do brônquio lobar superior direito, demonstrada nas imagens a seguir. Não há linfonodos mediastinais aumentados. A fibrobroncoscopia para investigação evidenciou uma lesão sólida em brônquio lobar superior direito, com obstrução total do brônquio, e aspecto em dedo de luva. As tomografias computadorizadas de abdome e de crânio não identificaram lesões metastáticas a distância. A biópsia endobrônquica demonstrou ser um carcinoide típico.
A espirometria permite ressecção pulmonar (lobectomia e pneumonectomia), e a avaliação clínica pré-operatória permite cirurgia de grande porte.

Em relação a esse caso clínico e com base nos conhecimentos médicos correlatos, julgue o item a seguir.
Dos tipos de tumores carcinoides, a paciente apresenta o menos agressivo. Os carcinoides de pulmão são classificados em típicos e atípicos, sendo os atípicos considerados mais agressivos.
{TITLE}
{CONTENT}
{TITLE}
Aguarde, enviando solicitação...