Lista completa de Questões sobre Farmacotécnica para resolução totalmente grátis. Selecione os assuntos no filtro de questões e comece a resolver exercícios.
Acerca das formas farmacêuticas obtidas por dispersão mecânica, assinale a alternativa correta.

O gráfico precedente apresenta as curvas plasmáticas A, B, C e D de quatro medicamentos. Com relação aos aspectos farmacocinéticos e farmacotécnicos envolvidos nessas curvas, julgue os itens subsequentes.
Medicamentos administrados em adesivos transdérmicos do tipo matricial poderiam originar perfis plasmáticos equivalentes ao da curva D.No que se refere aos medicamentos estéreis, julgue os itens que se seguem. No fluxo laminar vertical usado na manipulação de preparações estéreis, o ar filtrado é direcionado de forma paralela e regular de cima para baixo para reduzir a contaminação particular por diluição e por deslocamento.

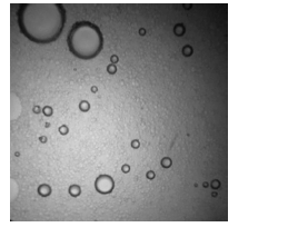
Considerando a figura precedente, que ilustra uma emulsão visualizada em microscópio óptico, julgue os próximos itens, relativos aos aspectos farmacotécnicos dessa emulsão.
A adição de gelificante à fase aquosa de uma emulsão óleo em água proporciona maior estabilidade física ao produto emulsionado.
Considerando a figura precedente, que ilustra uma emulsão visualizada em microscópio óptico, julgue os próximos itens, relativos aos aspectos farmacotécnicos dessa emulsão.
O tamanho dos glóbulos da fase interna interfere na dosagem do medicamento.
Considerando a figura precedente, que ilustra uma emulsão visualizada em microscópio óptico, julgue os próximos itens, relativos aos aspectos farmacotécnicos dessa emulsão.
Solução de corante hidrossolúvel isenta de solventes orgânicos, ao corar a fase externa, auxilia na classificação do tipo da emulsão água em óleo.
Considerando a figura precedente, que ilustra uma emulsão visualizada em microscópio óptico, julgue os próximos itens, relativos aos aspectos farmacotécnicos dessa emulsão.
O tensoativo, que proporciona a estabilização da emulsão, é representado na figura como uma linha grossa que contorna a fase interna.A determinação de peso é um teste farmacopeico que se aplica à formas farmacêuticas sólidas em dose unitária (comprimidos não revestidos, comprimidos revestidos, pastilhas, cápsulas duras e moles e supositórios), formas farmacêuticas sólidas acondicionadas em recipientes para dose unitária (pós estéreis, pós liofilizados, pós para injetáveis e pós para reconstituição de uso oral) e a formas farmacêuticas sólidas e semissólidas acondicionadas em recipientes para doses múltiplas (granulados, pós, géis, cremes, pomadas e pós para reconstituição). Sobre esse teste farmacopeico assinale a alternativa correta:
A água utilizada na manipulação de produtos é considerada matéria-prima de importância fundamental na obtenção de formas farmacêuticas líquidas e semissólidas. Para ser utilizada em preparações parenterais, podem ser adotados diversos mecanismos de purificação a partir do qual se obtém água com diferentes graus de pureza. Acerca do exposto, assinale a alternativa INCORRETA.
Preencha as lacunas e assinale a alternativa correta. O vidro tipo _________ é o mais indicado para envasamento de todas as preparações parenterais. No teste do _____________: o volume gasto de ácido sulfúrico na titulação não deve exceder _______mL.
{TITLE}
{CONTENT}
{TITLE}
Aguarde, enviando solicitação...